据外媒The Verge报道,近日一项新研究表明,利用人工智能可使磁共振成像(MRI)扫描速度加快4倍。这项工作是Facebook的AI研究团队(FAIR)和纽约大学朗格尼医学中心的放射科医生之间的合作项目,名为fastMRI。

科学家们一起在一对低分辨率和高分辨率的核磁共振扫描上训练了一个机器学习模型,利用这个模型只需从通常输入数据的四分之一中 “预测”出最终的核磁共振扫描的样子。这意味着扫描可以更快地完成,这意味着患者的麻烦更少,诊断更快。
“这是一个将人工智能融入医学影像的重要垫脚石,”参与该项目的FAIR生物医学人工智能访问研究员Nafissa Yakubova告诉The Verge。
人工智能可以用来从较少的数据中产生相同的扫描,原因是神经网络基本上已经“学会”了一个抽象的想法,即通过检查训练数据来了解医疗扫描的样子。然后,它利用这一点来对最终的输出进行预测。
“神经网知道医学图像的整体结构,”纽约大学朗格尼医学中心的放射学教授Dan Sodickson告诉The Verge。“在某些方面,我们正在做的是根据数据填补这个特定患者(扫描)的独特之处。”
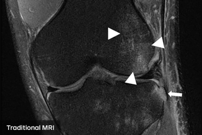
fastMRI团队多年来一直在研究这个问题,但周二他们在《 American Journal of Roentgenology》杂志上发表了一项临床研究,他们说这证明了他们的方法的可信度。该研究要求放射科医生根据传统的核磁共振扫描和人工智能增强的患者膝盖扫描进行诊断。研究报告称,当面对传统扫描和AI扫描时,医生做出的评估完全相同。


“这里可以基于信任的关键词是互换性,”Sodickson说。“我们不是在看一些基于图像质量的量化指标。我们是说,放射科医生做出同样的诊断。他们发现同样的问题。他们不会错过任何东西。”
这个概念极为重要。虽然机器学习模型经常被用来从低分辨率的输入中创建高分辨率的数据,但这个过程经常会引入错误。例如,人工智能可以用来提升旧视频游戏的低分辨率图像,但人类必须检查输出,以确保它与输入相匹配。而AI “想象 ”错误的MRI扫描的想法显然令人担忧。
不过fastMRI团队表示,这并不是他们方法的问题。首先,用于创建AI扫描的输入数据完全覆盖了身体的目标区域。机器学习模型并不是只从几块拼图来猜测最终的扫描结果是什么样子的。它拥有所有它需要的碎片,只是分辨率较低。其次,科学家们根据核磁共振扫描的物理原理,为神经网络创建了一个检查系统。也就是说,在创建扫描的过程中,每隔一段时间,人工智能系统就会检查它的输出数据是否与核磁共振成像机器在物理上可能产生的数据相匹配。
“我们不只是让网络创建任何任意的图像,”Sodickson说。“我们要求通过该过程生成的任何图像必须是物理上可实现的MRI图像。我们在某种程度上限制了搜索空间,确保一切都与MRI物理学一致。”
Yakubova说,正是这种特殊的见解,在放射科医生和人工智能工程师之间进行了长时间的讨论之后才得以实现,才使得这个项目得以成功。“互补的专业知识是创造这样的解决方案的关键,”她说。
不过,科学家的下一步计划是让这项技术进入医院,真正帮助病人。fastMRI团队有信心这可以相当快地实现,也许只需要几年时间。他们创建的训练数据和模型是完全开放的,无需新的硬件就可以纳入现有的MRI扫描仪中。而Sodickson表示,研究人员已经在与生产这些扫描仪的公司进行谈判。
伦敦大学学院MRI研究团队的负责人Karin Shmueli(并没有参与这项研究)告诉The Verge,这将是推进研究的关键一步。
“将一些东西从研究中带入临床的瓶颈,往往是制造商的采用和实施,”Shmueli说。她补充说,像fastMRI这样的工作是将人工智能纳入医疗成像的更广泛趋势的一部分,这种趋势非常有前途。“人工智能在未来肯定会有更多的应用,”她说。