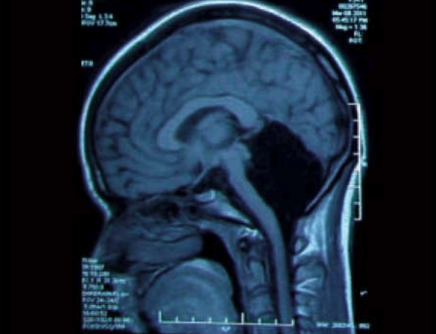
北京时间12月16日消息,2014年,中国一名24岁的女士因持续一个月的头晕和呕吐而入院。她对这些症状并不陌生,因为她一直都无法稳步行走,而且几乎生来就饱受头晕之苦。这些都是十分严重、令人虚弱的症状。然而,从CT和核磁共振(MRI)扫描的诊断结果来看,这些症状甚至可以算十分轻微;医生发现,这位女士缺失了大部分的大脑,确切的说,她缺失了小脑。
在她的大脑“舞台”上,大多数角色都还在场:大脑皮层,大脑最大和最外层的部分,负责我们大部分的思维和认知;下皮层与中脑,负责多种功能,包括运动、记忆和身体调节等;脑干,是控制呼吸、睡眠以及与身体其他部位交流的重要部位。在这名女患者的大脑中,这些结构都正常发挥着功能。

2014年,中国一名24岁的女士因持续一个月的头晕和呕吐而入院。医生通过对她的大脑扫描发现,她缺失了小脑
然而,所有这些区域都不具有绝大多数的神经元,即通过释放脉冲来传递信息或运动指令的神经细胞。这种区别体现在小脑上,一个位于脑干后部、大脑皮层下方的结构。高度紧凑的小脑只占大脑体积的10%,但却包含了大脑50%到80%的神经元。事实上,正因为如此,我们才说这位住院的女士失去了大部分大脑。
更令人难以置信的是,她活了将近25年之后才知道自己的小脑缺失了。与之相比,大脑皮层的神经元数量远少于小脑,但中风和大脑皮层损伤的患者可能会失去识别颜色、面孔和理解语言的能力,有时可能会发展成所谓的“意识障碍”,一种导致反应能力丧失或意识完全丧失的疾病。
为什么大脑的神经元网络感觉像是一种体验?

大脑的功能性核磁共振(fMRI)扫描图像
理解意识可能是我们这个时代最大的科学挑战。生理的东西(如电脉冲)将如何解释心理的东西(如梦或自我感觉)?为什么大脑中的神经元网络给人以一种体验的感觉,而电脑或者人群的社交网络却没有这种感觉?
这个问题看起来似乎不可能解决。然而,意识障碍的误诊率在9%至40%之间,这方面迫切需要取得进展。这就要求研究意识的科学家更加努力,否则我们永远也不会知道受伤的病人是否真的失去意识,还是尽管没有反应,但仍有潜在的意识。没有这些知识,医生如何知道病人是否有可能康复,或者停止治疗是否合乎道德?
许多潜意识清醒的病人并不同于流行文化中描绘的病人,比如法国记者让-多米尼克·鲍比。他的脑干因为中风而损伤,全身不能自主活动,只有左眼睑能够眨动。在医院的病床上,鲍比用眨眼睛的方式选择需要的字母,拼出单词,记录下自己中风之后那段痛苦的经历。这本名为《潜水钟与蝴蝶》(1997)的回忆录一共用了大约20万次眨眼完成。鲍比的症状在临床上被称为“闭锁综合征”,其自发性控制能力的丧失是由脑干受损造成的,而脑干对控制身体的其他部分以及与外界沟通都至关重要。
具有内隐意识的不仅有闭锁综合征患者,还包括大脑皮层受损的患者。对于后者,内隐意识更难识别,因为这些患者保留的心智能力很可能已经受损。例如,某个患者没有反应的原因可能不是没有意识,而是因为大脑皮层的损伤使其失去了理解口语的能力。
而且,与鲍比不同的是,这些患者的大脑核磁共振图像显示了更广泛的大脑损伤,意味着神经学家无法确定他们是否具有意识。即使在这些病人睁开眼睛并从昏迷中醒来,通常也会出现完全缺乏反应或无法自主运动的情况,从而被诊断为植物人状态,也被称为“无反应觉醒综合征”(unresponsive wakefulness syndrome)。
检测意识的存在
为了检测被诊断为意识障碍的患者的隐性意识,由美国加州大学洛杉矶分校的马丁·蒙蒂等研究者组成的国际研究团队进行了一项聪明的实验,对一些在其他情况下没有反应的患者在接到指令时产生的心理意象进行研究。研究小组让54名病人轮流进行了脑部扫描,这些病人有的会做出与其他病人不一致的反应,有的则完全没有反应。研究人员用功能性核磁共振成像(fMRI)对他们的大脑功能进行扫描,以推断出有多少部分(如果有的话)可能具有内隐意识。马丁·蒙蒂说:“在少数情况下,我们可以使用核磁共振检测出病人的一些意识,尽管他们在其他情况下看起来是无意识的。”
蒙蒂和同事们首先让看起来已经失去意识的病人想象自己在家中行走。“除了一名参与者外,我们在所有参与者的海马旁回都看到了fMRI的活跃图像,”该项目的另一名研究人员阿德里安·欧文说道。但是,仅仅让人们想象自己在家里行走是不够的。为了增强他们的信心,让他们相信接受扫描时是清醒并遵循指示的,研究人员还尝试进行第二个任务,这将涉及不同的激活模式。最后,蒙蒂和欧文的同事梅勒妮·博利提到,根据这项研究,复杂的任务可能比简单的任务更有效。欧文回应道:“网球怎么样?”
让研究人员非常高兴的是,让健康的参与者想象打网球时,得到了清晰一致的大脑激活信号。那么,同样的任务是否也适用于意识内隐的病人呢?一旦进入核磁共振机器,研究人员要求无反应的病人想象两项任务——打网球或在家里走动——中的一项。蒙蒂表示,谁也说不准最后会有多少病人出现反应。但在第一次实验中,研究小组就“一击即中”,他们发现一个原本没有反应的病人似乎理解了打网球的任务。该病人符合植物人诊断的所有标准,但实际上是具有意识的。
这项最终发表于2010年的研究,既让人充满希望,又发人深省:54名接受核磁共振扫描的患者中,有5人能够根据要求生成心理意象,这证明了他们的大脑能够思考、感受和理解,但不能交流。那么,这些患者是否可以利用这两项任务来回答问题,比如通过心理意象本身来回答“是”或“不是”,情况会怎样呢?
简而言之,“是”可以通过想象打网球来表达,而“不是”可以通过想象在家里走动来表达。研究团队再一次在首次尝试中就取得了成功。在询问病人几个问题——比如“你父亲的名字是托马斯吗?”——之后,研究人员收到了相应的反应,这些反应由每个任务的签名图像显示,并记录在核磁共振成像中。蒙蒂说:“事实证明,即使是看似昏迷的病人,也具有比用标准临床方法观察到的更多的认知功能。”
麻醉状态能揭示什么?
美国密歇根大学的另一组研究人员追随蒙蒂及其同事的脚步,在2018年发表了一项研究,他们使用了一项类似的功能磁共振成像(fMRI)心理意象任务,来展示麻醉状态下的内隐意识。五名健康的参与者为了科学目的而接受了全身麻醉,使用了药物异丙酚(propofol),其中一人做到了本不可能做到的事情:在扫描仪中根据要求产生了心理意象。该研究的暗示很明显:当外科医生将我们麻醉时,我们并不一定处于愉悦的无意识状态中。
fMRI的网球任务表明,在全身麻醉和植物人状态之下,意识偶尔会潜伏起来。不过,这项任务的有效性取决于病人能否听到问题并理解口头语言,而这一假设并不总是适用于大脑受损的人。
意识也可以在没有理解或听到语言的情况下产生。在这些情况下,病人可能仍然会感到疼痛、无聊甚至是无声的梦境。事实上,如果患者大脑皮层的某些区域受损,当他们听不到蒙蒂团队提出的问题时,生动的意识体验可能仍会持续存在。正因为如此,核磁共振扫描可能会忽略许多具有意识的人。我们需要另一种意识标记,作为一种高级的意识探测器,而不是依赖大脑损伤的患者在能听到或理解语言的情况下,可以随意产生的心理意象。
意识是一个谜。大量的科学理论试图解释为什么我们的大脑是在体验世界,而不是简单地接收输入并毫无感觉地产生输出。其中一些理论认为,意识就“在那里”,比如由英国理论物理学家罗杰·彭罗斯爵士和美国麻醉学家斯图尔特·哈默罗夫提出的一个理论框架。
彭罗斯和哈默罗夫将意识与微管联系起来,这是一种帮助神经元和其他细胞形成骨架的丝状结构。在微管内部,电子可以在不同的隔室间跃迁。事实上,根据亚原子尺度上的宇宙规则,这些电子可以同时存在于两个空间中,而这种状态被称为量子叠加态。意识的出现很大程度上可以用量子物理学来进行解释:声称需要一个有意识的观察者来让一个粒子(比如电子)在空间中有一个明确的位置,从而结束叠加。正如哈默罗夫在PBS系列节目《走近真相》的采访中所说:
“你具有一种可能性的叠加态,坍缩成一种或另一种状态,当这种情况发生时,就有了主观性。对许多人来说,这似乎有些夸张,但正如福尔摩斯所说的:‘如果你排除了不可能,剩下的选项无论看起来多么不可能,都一定是正确的。’”
在另一些研究者,比如加州大学洛杉矶分校从事意识研究的乔尔·弗罗利希看来,这样的理论并不具有说服力。他拒绝将量子幽灵与意识混为一谈。首先,彭罗斯和哈默罗夫提出的关于意识的详尽理论需要一种新的物理学——量子引力——而这一物理学还没有发展出来。但更重要的是,彭罗斯和哈默罗夫的理论框架未能解释为什么小脑与意识无关。小脑神经元也有微管,那为什么小脑可以在不影响意识的情况下缺失或损伤呢?
意识体验的基础是什么?

美国威斯康辛大学的神经学家朱利奥·托诺尼(Giulio Tononi)并不关注哪些大脑过程或大脑结构与意识有关,而是从另一个方向来研究这个问题,即意识体验本身的本质特征是什么?
美国威斯康辛大学的神经学家朱利奥·托诺尼提出了一种更有前景的方法。他并不关注哪些大脑过程或大脑结构与意识有关,而是从另一个方向来研究这个问题,即意识体验本身的本质特征是什么?
作为背景,我们可以将他的方法与另一个更宏大的问题进行比较,那就是:生命是什么?生物会把形状传递给后代,所以一定会有遗传信息从父母传递给孩子(动物和植物也是如此)。但是,生物也在不断演化并适应所处的环境,因此这种遗传信息必须是可塑的,在一代一代的传递中不断改变。
从这个自下而上的角度来思考这个问题,你可能已经预测了一种复杂分子的存在,比如脱氧核糖核酸(DNA)。它既能储存遗传信息,也会发生变异,允许自然选择的演化。事实上,物理学家埃尔温·薛定谔在他的《生命是什么?》(What is Life?,1944)一书中,就从这个方向来看待这一问题。相反的方法,比如观察许多生物并研究它们有什么共同之处,可能并不会让你想到DNA,除非你有一台非常强大的显微镜。
正如生命在一百多年前让生物学家们头疼一样,意识也让今天的神经科学家们“绞尽脑汁”。为什么有些大脑区域对意识至关重要,另一些区域则不然?这个问题还远没有答案。因此,托诺尼的方法是考虑意识体验的基本特征。当我们有某种体验时,是什么定义了它?首先,每一种意识体验都是特殊的。你对蓝色的体验就是它本身,部分是因为蓝色不是黄色。如果你从未见过除蓝色以外的任何颜色,你很可能就会对颜色没有概念或体验。同样地,如果所有的食物尝起来都一样,味觉体验就没有意义,并且就会消失。每一种意识体验都必须是特殊的,这样的要求称为“差异化”。
但与此同时,意识也是整合性的。这意味着,尽管意识的对象具有不同的特质,但我们永远不会分别体验到每一种特质。当你看到一个篮球飞快地向你飞来时,它的颜色、形状和运动都紧密地联系在一起。在一场比赛中,你永远不会意识到篮球的橙色独立于它的圆球形或它的快速运动而存在。同样地,你的左右视野也都不是独立的,而是作为一个整体相互依存。
托诺尼认为,差异性和整合性是意识的两个基本特征。因此,正如生命的基本特征可能会导致科学家推断出DNA的存在一样,意识的基本特征也会使托诺尼推断出意识系统的物理特性。
意识探测器
未来开发“意识探测器”的工程师们要注意了:对于这样一台神奇的机器,在无反应的病人大脑里所要寻找的,正是这些物理特性。意识是明确的,因此像大脑这样的物理系统必须从大量的可能状态中进行选择,决定哪些才是意识。正如生命与DNA之间的联系一样,这一推论非常依赖于信息的概念。
体验能够提供很有用的信息,因为它们排除了其他体验:巧克力的味道不同于盐的味道,玫瑰的气味不同于垃圾的气味。这些体验提供了信息,并且得到了大脑与意识的识别,可以推断,当一个人的意识增强时,大脑中的信息也会增强。事实上,当大脑中充满了信息时,它所保留的各种可能状态就会增多。
这就像一个猜字游戏。首先,让我们想象一下用英语玩猜字游戏。英语字母表包含26个字母,每一个正确猜出的字母都能提供适当的信息。像“e”这样的普通字母提供的信息较少,而像“x”这样的罕见字母提供的信息更多(毕竟没有多少英语单词是用“x”拼写的)。但是,想象一下用数千个汉字来玩猜字游戏。每个字都是非常有用的,因为其出现的频率几乎都低于英语中的任何一个字母。因此,由于中文有更大的可能字符库,猜出一个字或许就可以赢得整个游戏。
大脑也是如此:当大脑可能状态的集合更大时,其信息内容就会增加,它对高度差异化的意识体验的能力也会增加。但与此同时,意识也依赖于整合性:神经元必须交流并分享信息,否则在意识体验中包含的特性就不能再绑定在一起。这种同时要求差异化和整合性的做法感觉就像是一种悖论。
托诺尼的一个比喻为我们提供了较为清晰的解释:有意识的大脑就像一个民主社会,每个人都可以自由地投不同的票(差异化),也可以自由地相互交谈(整合性);另一方面,无意识的大脑更像是一个极权社会,公民之间可能被禁止自由交谈(缺乏整合性),或者被迫以同样的方式投票(缺乏差异化)。
差异化和整合性对于意识也是必不可少的。这并不是一个不切实际的观点,而是基于临床观察。在这些数据中,最引人注目的是病人的报告,例如那位匿名的中国女患者,在缺失小脑的情况下仍保持意识。事实证明,小脑是一个“极权”社会,它的神经元虽然很多,但不能自由地相互交流。事实上,小脑的神经元是以链条的方式组织起来的:每个神经元沿着链条向下一个神经元发送信息,但链条之间几乎没有通信,也没有反馈沿着链条的另一个方向传递。
大脑与意识的隐喻
为了理解这种交流方式,你可以想象许多人站成一排,每个人都轻拍下一个人的肩膀。因此,尽管小脑包含了大脑中的大部分神经元,但它的神经元几乎没有整合性。没有整合性,就没有意识。另一方面,大脑皮层就像一个自由的社区,其居民(神经元)可以自由地互动,不仅仅是与邻居互动,还可以与更遥远的居民互动。
当然,意识并不总是存在于大脑皮层中。在夜间的无梦睡眠中,差异化会丧失。大量的神经元被迫达成一致,以同样的模式一起放电。通过脑电图(一种记录头皮上脑电波活动的技术),研究人员可以“听到”这些神经元一起“喊出口号”,就像体育场上的人群一样。同样的差异化丧失也发生在全身型癫痫发作时,大量的神经元由于失控而一起放电。当神经元锁定在一起时,意识就从大脑中消失了。
托诺尼的理论——差异化和整合性都是意识形成所必需的——被称为“整合信息理论”(integrated information theory,简称IIT)。利用该理论,人们可以系统地预测哪些大脑区域与意识有关(大脑皮层),哪些区域与意识无关(小脑)。在临床中,整合信息理论已经帮助研究人员推断出哪些脑损伤病人是有意识的,哪些没有。根据该理论关于意识系统的描述,研究人员可以推断出有意识的大脑在接收到能量脉冲后应该做出什么样的反应——意识检测器效果应该比在核磁共振成像扫描仪中想象打网球强得多。
正如马丁·蒙蒂所说,这就像在敲木头,通过敲击的声音来推断木头的密度。在这种情况下,“敲打”是通过线圈产生的磁脉冲来实现的,这种技术被称为经颅磁刺激(transcranial magnetic stimulation,简称TMS)。然后,研究人员利用脑电图来倾听这种磁场扰动的“回声”,从而了解大脑究竟是一个什么样的“社会”。
如果“回声”是高度复杂、整合和差异化的,那我们面对的就是一个多元社会,不同的大脑区域有不同的反应方式;病人可能还有知觉。但是,如果反应是无差别的,即各个区域的信号都相同,那我们面对的就是一个同质化的社会,病人很可能是无意识的。
2013年,由意大利米兰大学神经学家马塞洛·马西米尼领导的国际研究团队就引入了上述方法——这是迄今为止最好的“意识检测器”版本。这项技术的正式名称是“扰动复杂性指数”(perturbational complexity index),有时被称为“轰击和压缩”(zap-and-zip),因为它首先是用磁脉冲对大脑进行冲击(zap),然后观察脑电图反应压缩(zip)的难度,以衡量其复杂性。
研究人员已经利用zap-and-zip来确定一个人是处于清醒状态、深度睡眠状态,还是处于麻醉状态或意识障碍(比如植物人)状态。很快,这种方法就能告诉我们,有哪些脑损伤的无反应病人(以及那些因手术而麻醉的病人)是有意识的,即他们尽管不能交流,但仍然有感觉和体验。事实上,正如《科学转化医学》(Science Translational Medicine)杂志的评价,这项技术是迄今为止最接近于“对不可量化的东西进行量化”的科学。
然而,关于意识仍然存在着更多的谜团。在加州大学洛杉矶分校马丁·蒙蒂的实验室里,乔尔·弗罗利希正在研究,为什么患有罕见遗传病“安格曼综合征”(Angelman syndrome,又称天使人综合征,以最先归纳该疾病的英国儿科医生哈里·安格曼命名)的儿童,即使在醒着并体验周围世界的时候,也会表现出缺乏差异性的脑电活动?
毫无疑问,这些孩子是有意识的,通过观察他们丰富的目的性行为就可以清楚地看出这一点。然而,如果在患有安格曼综合征的孩子头上戴上脑电图描记帽,就会发现神经元似乎都被锁定在同一状态。
与意识无关的大脑活动
安格曼综合征患者可以向我们展示哪些类型的大脑活动对意识至关重要,他们与那些缺少部分或全部小脑的患者一样,能帮助研究者更进一步了解意识的问题。乔尔·弗罗利希正最近在这一领域的研究表明,尽管安格曼综合征患者的脑电图显示了很明显的神经元反应,但在这些孩子睡觉时,神经元的行为仍然发生了改变:它们的“回声”更响了,而且内容并不是那么丰富多样。他很乐观地认为,当最终有人通过zap-and-zip方法测量安格尔曼综合征患儿的神经回声时,结果将证实该方法足够敏感,可以区分意识和无梦睡眠。如果不能做到,“意识检测器”的开发就将从头开始。
意识可能是科学的最后一个前沿。如果整合信息理论继续引导我们朝着正确的方向前进,或许在不久的将来,研究者就能开发出更好的诊断意识障碍的方法。有一天,我们甚至可以以此来分析人工智能——一种与人类截然不同的潜在大脑——并评估它们是否具有意识。这不是科幻小说:许多严肃的思想家,包括已故物理学家斯蒂芬·霍金、技术派企业家伊隆·马斯克、加州大学伯克利分校的计算机科学家斯图尔特·罗素,以及牛津大学人类未来研究所的哲学家尼克·博斯特罗姆,都十分认真地对待近年来人工智能的发展,并深切担心未来(人类或超人级别的)人工智能可能带来的风险。当一个人工智能具有了意识,断开它是否会违背道德?在未来几十年后,任何准备断开超级人工智能的人,都会想知道这到底是一个正在“黑化”的人工意识,抑或仅仅是一台复杂的数字计算机,在发出模仿恐惧的声音。
尽管这样的挑战还没有摆在我们面前,但科学家和哲学家已经在试图理解近年来微型似大脑类器官的发展。目前,这些在体外培养皿中生长的“迷你大脑”正在帮助生物医学研究人员了解影响大脑的疾病,但是,如果随着生物工程在未来几年变得更加复杂,它们最终发展出意识——以及忍受痛苦的能力——又会带来怎样的后果?迷你大脑和人工智能所带来的挑战表明,对意识的研究已经不再深奥难懂,也不再仅仅是象牙塔里的消遣。理解意识真的很重要,毕竟,我们的心灵要依赖它才能感受到幸福。(任天)