2月29日,世卫组织(WHO)公布中国新冠疫情考察报告,称赞“中国采取了历史上最勇敢、最灵活、最积极的防控措施”,其中,深圳疫情防控被作为唯一一个城市个案进行了分析。

深圳三阶段疫情防控策略被作为经典案例
值得一提的是,在为期9天的行程中,世卫组织考察组对北京、四川、广东、湖北等省市进行了实地考察和调研,其中2月18、19日到访深圳的6个地点,这其中就有腾讯公司,调研的正是科技公司如何利用大数据防控疫情。
事实上,腾讯也是世卫组织在华考察全程中,去过的唯一一家科技企业。

世卫组织在报告中提到,中国应用大数据和人工智能等新技术,加强了对密切接触者和重点人群的管理,并积极利用前沿科技,促进防控措施的创新,比如将常规医疗和教学工作转移到在线医疗平台,使用5G平台支持农村地区防控工作。
面对本次疫情,腾讯也是寄出了多项前沿技术支持防控,比如——
医疗辅助:
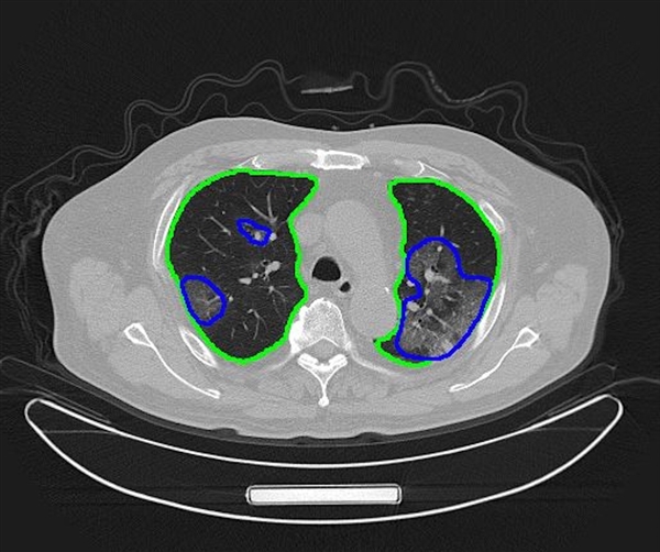
面对大量新冠肺炎病人的诊断需求,腾讯拿出搭载最新“腾讯觅影”AI的应急专用CT装备,支援湖北前线医院,最快2秒就能完成AI模式识别,1分钟内即可为医生提供辅助诊断参考。

AI对CT图像进行自动分割:绿色圈为肺部,蓝色圈为新冠肺炎病灶
健康登记:
疫情期间,腾讯上线了“防疫健康码”,目前已经落地上海、黑龙江、湖南、广州、武汉等多个省市,超100个城市计划上线,覆盖超过7亿人口,累计亮码人次近6亿,是服务用户最多的健康码。
公共出行:
腾讯紧急上线“乘车登记码”,上车扫码登记后,如有疫情发生,将第一时间通过通知同乘乘客。目前已在北京、上海、深圳、宁波、阜阳等13个城市落地。
在线教育:
聚合腾讯会议、企业微信、腾讯QQ、腾讯教育等产品资源,提供包括在线直播、在线课程、协同办公、教务教学管理在内的“全家桶”解决方案。
其中,光腾讯教育已服务于30多省市教育主管部门,助力万所学校数千万师生在线教学。