目前,科学家结合多项技术研究巨型病毒如何释放它们的DNA,渗透并感染细胞组织。巨型病毒是指比普遍感冒病毒体型大10倍以上的病毒,它们会渗透到细胞中,通过一种叫做“星门(stargate)”的特殊组织释放自己的DNA。现在最新详细的图像揭晓了巨型病毒星门如何打开,以及实现病毒感染细胞组织的过程。

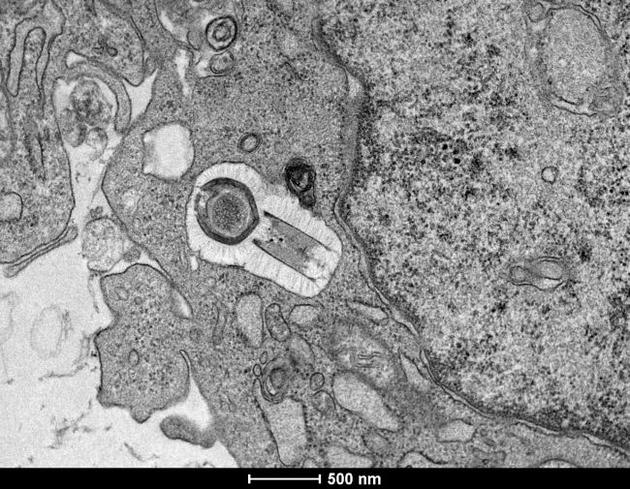
图中显微镜呈现图邦病毒打开星门感染一只阿米巴原虫。
病毒无论大小,都缺乏复制其DNA所需的机制,病毒微生物本质上就是一卷卷遗传物质塞入一个密封衣壳中,为了生存下来,病毒必须潜入宿主细胞,破坏其内部机制,并建立一个病毒工厂生产新的病毒。巨型病毒有一个特殊的感染通道——星门。星门的外型像长有5条腿的伸展海星,它位于病毒表面,在其生命周期大部分时间都处于封闭状态。一旦病毒进入宿主细胞,病毒星门的每条腿都会“解压”,使得病毒遗传物质通过星门释放出来。目前,该项研究报告发表在5月8日出版的《细胞》杂志上,最新研究表明,病毒星门开启是对酸度、盐度和高温环境条件的反应。
神秘病毒体积比普通感冒病毒大10倍
科学家是近些年才开始了解这些巨型病毒,据《科学》杂志报道,首次描述巨型病毒是2003年。在2003年发表的研究报告中,巨型病毒是从20世纪90年代初采集的水样中分离出来的,当时科学家未仔细检查这些病毒的遗传密码。在收集的时候,他们还无法肯定它们一定是病毒,因为它们的体积很大,其直径超过300纳米,比普通的感冒病毒大10倍。
最终在科学家发现它们10年之后才确定这是巨型病毒,当鉴别技术成熟后,研究人员采集分析该病毒样本,发现它们缺乏核糖核酸RNA,这是一种关键分子,允许细菌构建自己的蛋白质,而病毒则无法独自完成。
由于最初发现的巨型病毒是在西伯利亚融化的永久冻土层、南极海洋深处以及高碱性湖泊等极端环境,因此科学家发现这些病毒多数情况下是感染阿米巴原虫和浮游生物,但是实验室研究表明它们能够感染动物细胞,包括啮齿类动物和人类细胞。但迄今并没有相关证据表明巨型病毒与人类疾病存在直接联系。
例如外型像20面骰子的巨型病毒,其中包括:拟菌病毒、南极病毒、桑巴病毒和图邦病毒(Tupanvirus)。这些病毒的结构和外壳非常复杂,在病毒领域中未曾发现,病毒表面的星门组织尤其吸引科学家,因为它的结构非常漂亮,并且呈对称结构,之前未发现较小病毒存在此类结构。但在此之前如何刺激巨型病毒打开星门仍是一个未解谜团。
打开星门

研究小组发现有3种情况导致了巨型病毒的星门开启:低pH值、高盐浓度和100摄氏度以上的高温条件。
在星门打开之前,巨型病毒会在一个叫做“吞噬作用”的过程被细胞吞噬,当流感病毒等小型病毒将它们的脂肪膜和感染细胞融合在一起时,巨型病毒的整个外壳被吞噬,从而渗透至细胞中。
一旦进入细胞中,巨型病毒就会打开它们的星门,释放出具有传染性的“种子”,这是从质粒载体下载的完整结构,或者说这是病毒DNA环状结构,巨型病毒将进入细胞质、蛋白质水溶液、或者包含真核细胞器的盐水溶液,该过程将使细胞引发感染。
在之前的研究中,研究人员通过将受感染的细胞切成薄片,并研究其中的成分来分析病毒如何感染细胞,除非人们碰巧捕捉到星门开启的“瞬间快照”,否则切片拍摄技术很难识别病毒感染细胞的过程。
为了克服这个障碍,研究人员设计了一种策略来触发细胞外巨型病毒感染过程,并对该过程的每一阶段进行拍摄成像。
分离出巨型病毒之后,研究小组对每个病毒样本进行不同的化学分析和环境处理,试图模拟可能在细胞内发生感染的条件。例如:病毒被细胞吞噬后,它们会位于一个叫做液泡的细胞膜泡,液泡呈酸性(低pH值)。
之后研究小组将处理后的巨型病毒放置在低温电子显微镜下观察,该显微镜通过样本传输负电荷粒子束来捕捉原子分辨率图像,他们还使用扫描电子显微镜对样本进行扫描,从而获得病毒表面的详细图像。
研究小组发现有3种情况导致了巨型病毒的星门开启:低pH值、高盐浓度和100摄氏度以上的高温条件。
在隔离状态下,低pH值或者高盐浓度条件能促使巨型病毒开启星门,但并未处于完全打开状态。极高温条件可促使星门完全开启,但在细胞真实生存条件下不太可能达到沸点温度,更有可能的是,高温条件模拟了宿主环境中发生的其他影响,例如:某种特定酶的存在。
在许多情况下,巨型病毒会拒绝打开它们的星门,然而,一旦研究人员掌握了“正确钥匙”,星门就会被完美地打开,这就像一粒坚硬的种子在水中发芽一样。在之前的实验室工作中,我们预测低pH值和高盐浓度溶液条件下会导致星门打开。
仍有许多谜团未揭晓
通过技术方式开启星门之后,研究小组继续研究蛋白质和遗传物质如何从病毒中释放出来,他们特别关注桑巴病毒和图邦病毒,使用一种叫做“质谱分析法”的技术推断不同蛋白质的结构。
在巨型病毒脱壳过程中蛋白质将释放出来,这很可能与病毒感染细胞的初期有关,包括宿主反应停止和病毒工厂组装。然而,从病毒衣壳中释放的许多病毒蛋白质是未知的,它们的功能仍有待深入研究。
研究中涉及的外型像20面骰子的病毒仅代表一种巨型病毒,基于同样的研究方法也可以用于分析其他许多物种,包括从未描述过的基因组和粒子,目前巨型病毒包含的基因和蛋白质与细胞世界中的任何组织都不相似,甚至包括其他病毒,未来的研究方向可能揭晓这些病毒是何时、如何实现首次进化,以及为什么它们与更常见的生命形式存在较大差异。