据媒体报道,近日,辽宁大连的一位55岁张女士在家庭聚会时,兴致高昂地长了一首《青藏高原》,并且挑战飚高音,结果突然出现剧烈头疼、恶心呕吐等症状。送医后通过全脑血管造影检查发现,张女士动脉瘤破裂,而后经过2小时的介入手术,破裂的动脉瘤被妥善处置,转危为安。
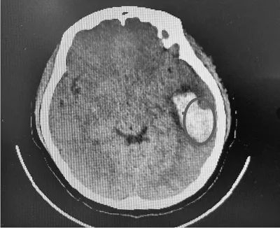
而在不久前的6月18日,河南郑州一位女大学生在KTV唱了一曲《凉凉》,随后出现恶心、呕吐、头晕头痛等,经检查后发现为脑出血,而且出血量比较大,有将近30毫升。
医生表示,幸好及时送医救治,否则后果不堪设想,而且即便年龄不大,也不能掉以轻心。

右侧圆圈处为出血位置
更早些时候的2017年4月24日,武汉汉口56岁的陈女士和老姐妹们一起在KTV唱歌,连唱好几首,还连飙高音,后来突然瘫坐在沙发上,左半边身体无法动弹,嘴角歪斜,说话不轻,随后恶心、呕吐,并且嗜睡、意识不清。
经检查也是脑出血,经过微创血肿引流手术,清除颅内血肿,才得以恢复。
值得一提的是,陈女士此前就一直有高血压,但没在意。
2015年9月,53岁的刘大妈加高中同学聚会并在KTV唱歌,曾是班上文艺骨干的刘大妈高音歌曲一首接一首,结果突然瘫坐在沙发上不能动弹,连话都说不出来,又是脑出血。
医生表示,唱歌飙高音时,容易用力过猛,导致血压和腹腔内的压力急剧升高,进而诱发脑出血。
而在2015年1月和2014年8月,还曾有两位男性因为在KTV高音唱歌,分别导致肺大疱破裂、肺部血管破裂,前者甚至导致左肺压缩60%以上,心脏受压移位。
